您好,欢迎访问山东第一医科大学附属眼科医院!

准分子激光治疗伴有屈光度的颗粒状角膜营养不良

发布时间:2013/09/04 22:54

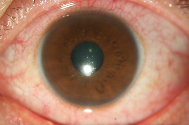
颗粒状角膜营养不良(图1),是角膜基质营养不良之一,属常染色体显形遗传。主要临床表现为:角膜基质内有分散的局灶性白色颗粒状沉积物,起病初时沉积于基质浅层,随着病程延长,逐渐沉着于深层基质,界限清楚,其间隔有透明区。早期可引起反复角膜上皮糜烂而使得患者畏光,影响生活质量,随着病变的发展,角膜混浊程度的增加,会严重影响视力。
对于病变尚位于角膜基质浅层者,目前主张通过准分子激光进行切削角膜浅层混浊,但是由于多数患者往往都伴有屈光不正(近视、远视或散光),单纯采用激光切削角膜病变组织,虽然可以消除角膜病变但患者术后视力提高不明显,因此我们考虑准分子激光治疗性联合屈光性治疗伴有屈光度的颗粒状营养不良,目前我院此项技术已经开展多例,均获得很好的疗效。
例:男性,32岁。双眼视力下降两年余来诊,查体见双角膜中央区域密集灰白色颗粒状混浊(图1)。裸眼视力右眼0.5,左眼为0.3,矫正视力右眼1.0,左眼0.7。屈光度显示:右眼-1.5/-0.5*75,左眼-2.5/-1.25*70。双眼进行准分子激光治疗性(PTK)联合屈光性(PRK)治疗,术后6月双眼裸眼视力1.0,角膜透明(图2)。
图一:颗粒状角膜营养不良,角膜中央灰白色颗粒状浑浊
 
图2:准分子激光术后角膜透明,裸眼视力1.0
 
 
 
 
                                                        山东省眼科医院准分子激光治疗中心


地址:山东省济南市经四路372号

邮编:250021

电话:0531-81276111

咨询电话:0531-81276000

公众号

小程序

版权所有 2008-2022 山东省眼科医院 信息部 鲁ICP备14000770号 鲁公网安备37010402000539号 济医广审字[2022]第0627-152号